في إنجاز طبي جديد يُحسب للكفاءات الوطنية، تمكن الفريق الطبي بمستشفى الدكتور سليمان الحبيب في الخبر، من إعادة القدرة على المشي لشاب يبلغ من العمر 15 عامًا، بعد إجراء عملية جراحية معقدة ونادرة استهدفت تطويل عنق مفصل الفخذ، وتعديل ميلان الحوض، وإنهاء معاناة استمرت لأكثر من عشر سنوات.
إنجاز طبي
وأوضح الدكتور عبدالرحمن الرفاعي، استشاري طب وجراحة العظام والمتخصص في التشوهات العظمية والحوادث وجراحات الحوض ومفصل الورك المتقدمة، ورئيس الفريق الطبي المعالج، أن الشاب حضر إلى العيادة وهو يعاني من صعوبة شديدة في المشي دون استخدام العكازات، وتشوه واضح في طريقة الحركة.
مستشفى الدكتور سليمان الحبيب
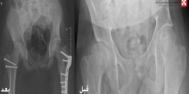
وأضاف أن الفحوصات السريرية والتاريخ المرضي للمريض أظهرت إصابته بخلع ولادي خضع على إثره لعملية جراحية في عمر الثالثة، أدت لاحقًا إلى تموّت رأس عظم مفصل الفخذ في كلا الجانبين، ما تسبب في تشوه دائم وتغير بميكانيكية حركة مفصل الورك.
وأشار الدكتور الرفاعي إلى أن الفريق الطبي أجرى مجموعة من الفحوصات الدقيقة باستخدام الرنين المغناطيسي والتصوير المقطعي والأشعة السينية الرقمية، والتي كشفت عن وجود ميلان حاد في الحوض، وقصور حركي في مفصل الوركين، بالإضافة إلى اختلاف في طول الفخذين.
وبناءً على دراسة الحالة، تقرر التدخل الجراحي العاجل للحيلولة دون تطور الحالة إلى مضاعفات خطيرة، كخشونة المفاصل المبكرة أو الجنف الثانوي في العمود الفقري.
واستغرقت العملية الجراحية نحو 5 ساعات تحت التخدير العام، حيث أُجري خلالها خلع جراحي لمفصل الورك باستخدام تقنية جراحية متقدمة تُعرف باسم (Modified DUNN Procedure)، تلاها عزل الشرايين المغذية لرأس عنق الفخذ الأيسر، وتطويل نسبي لعنق الفخذ، مع ترميم كامل لمفصلي الورك، وإعادة استقامة عظام الحوض.
وأكد الدكتور الرفاعي أن العملية تكللت بالنجاح – بفضل الله – وتحسنت المؤشرات الحيوية للمريض خلال الساعات الأولى بعد الجراحة، وغادر المستشفى بعد 4 أيام وهو بصحة جيدة، ليبدأ برنامجًا تأهيليًا للعلاج الطبيعي بعد 6 أسابيع من العملية ولمدة 8 أسابيع بهدف تقوية العضلات والأربطة.
واختتم الرفاعي حديثه مشيرًا إلى أن الشاب راجع العيادة بعد 3 أشهر من الجراحة وهو يمشي بصورة طبيعية تمامًا دون الحاجة إلى العكازات، في مشهد لافت يعكس حجم الإنجاز الطبي ودقة العمل الجماعي للفريق المعالج.


















