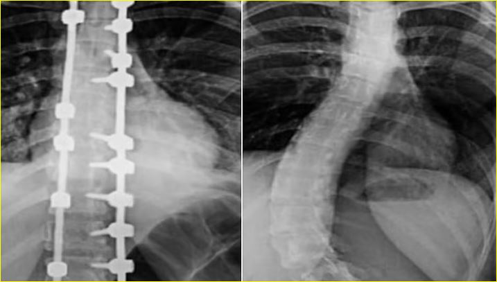
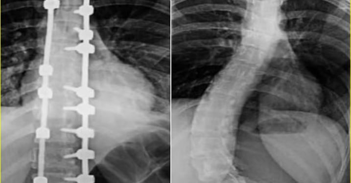
تمكن فريق طبي متخصص في مستشفى الدكتور سليمان الحبيب بالصحافة، من إجراء عملية جراحية ناجحة لتقويم تشوّه متقدم في العمود الفقري لشابة عشرينية، كانت تعاني من ميلان (جنف) بنسبة 55% وتحدب صدري بمقدار 70 درجة، ما أثر على قدرتها على الجلوس والمشي بشكل مستقيم وأصاب حياتها الاجتماعية والنفسية بالإجهاد.
عملية جراحية متقدمة
وذكر د. تركي العنزي، استشاري المخ والأعصاب وجراحات العمود الفقري المعقدة ورئيس الفريق الطبي، أن المريضة خضعت فور وصولها للمستشفى لفحوصات دقيقة، شملت الأشعة السينية والرنين المغناطيسي، والتي أظهرت الحاجة لتدخل جراحي عاجل لتصحيح الانحناءات وتحسين المظهر الخارجي للظهر.
وأضاف أن العملية استغرقت خمس ساعات، وأُجريت تحت المراقبة العصبية الدقيقة، وشملت تصحيح العمود الفقري على امتداد 12 فقرة باستخدام أحدث أنظمة التثبيت الجراحي، مع إغلاق تجميلي متقدم للجرح وتقنيات لإعادة توازن الكتفين وتناسق الخصر. وأكد أن نجاح العملية تحقق بفضل توفر أحدث الأجهزة الطبية وكوادر طبية وتمريضية عالية التأهيل.
مستشفى الدكتور سليمان الحبيب بالصحافة
وتمكنت المريضة من المشي صباح اليوم التالي للعملية، وغادرت وحدة العناية المركزة بعد تحسن ملحوظ، مع زيادة طولها بما لا يقل عن 10 سم نتيجة تصحيح الانحناء. وبعد خمسة أيام من المتابعة والرعاية الطبية، خرجت المريضة من المستشفى بصحة جيدة، واستعادت قدرتها على الجلوس والمشي والنوم بشكل طبيعي.
وأكد د. العنزي أن مستشفى الدكتور سليمان الحبيب بالصحافة مجهز بكافة الإمكانيات لإجراء مثل هذه الجراحات الدقيقة، بما في ذلك غرف عمليات متطورة، وعيادات تشخيصية متكاملة، ووحدة عناية مركزة مجهزة بأحدث التقنيات، إلى جانب فريق طبي عالمي الخبرة يعمل بالتعاون لتحديد خطوات العملية وعدد الفقرات المثبتة لضمان أعلى درجات السلامة والدقة.



















